Písek – Praha – Brno – Vídeň

Písek – Praha – Brno – Vídeň

Písek – Praha – Brno – Vídeň

To není jízdní řád vlaků, ale cesta za správnou léčbou malé Natálky a její statečné maminky.

Natálka se narodila v dubnu 2013 s pes equinovarus na pravé nožce. Sádrování započalo v nemocnici v Písku a během 4 měsíců dostala malá holčička neuvěřitelných 36 sáder. K napravení nožky to však nevedlo.

Naštěstí se malá Natálka dostala na Bulovku v Praze, kde stačily pouhé 4 správně naložené sádry a tenotomie (malý operační zákrok v lokální anestezii) a nožka byla jako zdravá.

Bohužel na problémy v pozdějším věku už bylo založeno.

Po růstových spurtech, po 3. roce věku, nastala recidiva a nepomohlo ani cvičení dle Vojty, ani lázně. Zvýraznil se nášlap přes malíkovou hranu a dívka začala postupně chodit jen po špičce nohy.

Verdikt v pražské fakultní nemocnici zněl: operace McKey je nevyhnutelná.

Jedná se o velký operační výkon, kdy se nožka obrazně řečeno “rozebere a znovu složí”, ale s rizikem následků, které vždy souvisí se zásahem do jemného mechanismu chodidla a může omezit jeho hybnost.

Maminka Natálky se ale nechtěla nechat dát.

Jak je možné, že Ponseti v Africe napravoval nohy i nikdy neléčeným dětem, které už chodily po nártech, a to jen pomocí sáder?

Tak se maminka vydala do Brna.

Lékař ve FN Brno byl přístupný myšlence opětovného sádrování dle Ponsetiho metody. Rodina se tak každý týden vydávala na 3 hodinovou cestu do Brna v naději, že budou stačit jen sádry. 

Ano, sádry dokázaly téměř nemožné. Už se nemluvilo o velké operaci McKey, ale “jen” o dorzálním uvolnění zadních struktur paty.

Nicméně, ani to maminku Natálky nezastavilo, pořád je to poměrně velká operace.

Poslední instance – Vídeň.

Ve Vídni působí nejbližší certifikovaný lékař Ponseti metody Dr. Christofer Radler, a to byla jejich poslední naděje. I když to znamenalo každý týden 8 hodinovou cestu a úhradu všech lékařských úkonů (neboť zde neplatí naše pojištění).

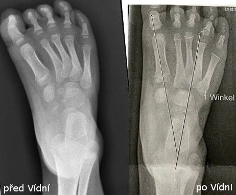
Bylo potřeba začít úplně od začátku – znovu 5 sáder (konečně správně dle Ponseti metody)  a opět udělat malý operační zákrok (tenotomie).

A tady je konec dlouhé cesty Písek – Praha – Brno – Vídeň, mnoha naježděných kilometrů a velké odvahy jít si za svým.

Dnes má malá Natálka 6 let, nejhorší období má za sebou a se správnou léčbou to zvládla i bez operací. Má velkou naději na plnohodnotný život bez omezení a bolestí.

Maminka Natálky si pokládá otázku: Proč?

A my se ptáme: Kolik by ušetřil český zdravotnický systém, kdyby léčba byla v pořádku už na začátku?

1 Comments

  1. Honza on 11. 2. 2022 at 22:46

    Když vidím ty obrázky, hrnou se mi slzy do očí, protože moc dobře vím, jak velké úsilí musela Natálčina maminka vynaložit, aby se dostaly alespoň tam, kde jsou teď a také vím, že cesta nekoční, příběh pokračuje dál a není ani zdaleka ještě vyhráno.
    Natálka má sakra velkou kliku, že má maminku, která se neúnavně snaží najít tu nejlepší a nejoptimálnější cestu, jak nožku uzdravit a zajistit jí bezstrarostný život bez zdravotních kompikací.

Přidat komentář